Prise de rendez-vous au : 01 46 22 07 07       PRENDRE RENDEZ-VOUS EN LIGNE
Bienvenue dans le site du Docteur André Chaine, chirurgien maxillo-facial à Paris, dédié à la chirurgie du nez ou rhinoplastie.
Vous y trouverez les informations concernant la chirurgie esthétique du nez (rhinoplastie) mais également les détails concernant la chirurgie fonctionnelle du nez, la septoplastie et la rhinoseptoplastie.

Ces interventions sont couramment pratiquées par les chirurgiens maxillo-faciaux aussi bien en chirurgie esthétique du visage qu'en chirurgie reconstructrice et réparatrice après un traumatisme ou pour corriger une malformation.
  • Stacks Image 101
  • Stacks Image 103
  • Stacks Image 105

La rhinoplastie ou chirugie du nez

Rhinoplastie et septoplastie : technique

Rhinoplastie :
Classiquement, les cicatrices sont dissimulées, le plus souvent à l'intérieur des narines ou quelquefois sous la lèvre supérieure, et il n'en résulte donc aucune cicatrice visible à l'extérieur. Parfois, pourtant, des incisions externes peuvent être requises : soit cachées à la base des ailes du nez si l'on doit réduire la taille des narines ; soit en travers de la columelle (pilier séparant les deux narines) afin de réaliser une rhinoplastie "ouverte" (permettant de découvrir l'infrastructure nasale), parfois utile quand les déformations sont importantes ou s'il s'agit d'une reprise chirurgicale.
L'infrastructure ostéocartilagineuse est dégagée et peut alors être refaçonnée selon le programme établi.
Les incisions sont refermées avec de petits fils, le plus souvent résorbables.
Les fosses nasales peuvent être méchées avec différents matériaux absorbants. Un pansement modelant est souvent réalisé à la surface du nez à l'aide de petites bandelettes adhésives. Enfin, une attelle de maintien et de protection, en plâtre ou en matière plastique ou métallique, est moulée et fixée sur le nez, pouvant parfois remonter sur le front.

Septoplastie :
Les cicatrices sont la encore dissimulés dans le nez.
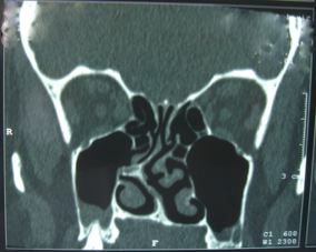
eperon-vomerien

Le chirurgien va modeler la cloison nasale pour rétablir sa rectitude. dans la partie antérieure la cloison nasale est de nature cartilagineuse. dans la partie postéreure, elle est de nature osseuse. on trouve souvent une déformation à ce niveau sur l’os Vomer : on parle d’éperon vomérien qui obstrue tout ou partie de la fosse nasale.
Une fois la rectitude rétablit des attelles souples ou des mèches endonasales (dans le nez) sont mises en place afin de maintenir la rectitude septale. Elles sont laissées pour une durée de 5 à 8 jours.
Photo éperon vomerien
Docteur André Chaine

Ancien interne des Hôpitaux de Paris
Ancien chef de clinique des Hôpitaux
Praticien hospitalier des Hôpitaux de Paris à la Pitié-Salpêtrière

Chirurgien maxillofacial
Chirurgie esthétique et reconstructrice du visage

Micro-chirurgie
Chirurgie implantaire et préimplantaire

Cabinet Carnot

Consultations privées les mercredi et vendredi
Téléphone : 01 46 22 07 07
Fax : 01 47 66 15 07
12 avenue Carnot, 75017 Paris

Cabinet Galien

Hôpital privé Claude Galien
20 Route de Boussy
91480 QUINCY-SOUS-SENART
Tél : 01 69 52 00 00
Son assistante Elisabeth vous y accueille.

Consultations publiques

Consultations publiques le jeudi
Hôpital de la Pitié-Salpêtrière
Téléphone : 01 42 16 13 01
Fax : 01 42 16 13 69
47, boulevard de l’Hôpital, 75013 Paris